Skip to primary content
Skip to secondary content

Edin cases

Short educational cases in Internal Medicine

Main menu

  • Home
  • Latest cases
  • Find a case
  • Send a case
  • About
    • Cookies

Polycystic – but just on one side?

Gallery

Posted on February 14, 2025 by admin

This gallery contains 1 photo.

Email enquiry from GP: This 49 year old man had an abdominal CT as part of an emergency assessment for ?appendicitis.  No explanation for the pain was found, but he was noted to have multiple simple cortical cysts in his … Continue reading →

Posted in Radiology, Renal | Tagged Level A, Level B

Jaundice and AKI after return from Papua

Gallery

Posted on February 1, 2025 by admin

This gallery contains 3 photos.

A 36 year old soldier developed a flu-like illness (fever, chills, headache, myalgia) 4 days after returning to Jakarta, Indonesia, from a 1 year posting to Papua New Guinea. He was known to have chronic hepatitis B infection, with chronically … Continue reading →

Posted in Infectious diseases, Renal | Tagged Level C

Hypertension in a 6th pregnancy

Gallery

Posted on February 1, 2025 by admin

This gallery contains 1 photo.

A 36 year old seamstress from Port Harcourt, Nigeria, presents at 35 weeks of her 6th pregnancy. 3 pregnancies went to term and she has 2 surviving children. She has had hypertension in previous pregnancies, and preterm labour with Caesarian … Continue reading →

Posted in Maternal medicine, Renal | Tagged Level B

A 34 year old man with a fit

Gallery

Posted on January 30, 2025 by admin

This gallery contains 1 photo.

A 34 year old man presents to Queen Elizabeth Central Hospital, Blantyre with a 2 day history of frontal headaches and generalized tonic clonic seizures. His guardians report that he has had multiple nodules all over his body since childhood … Continue reading →

Posted in Neurology | Tagged Level B, Malawi

A 44 year old man with previous interstitial nephritis

Gallery

Posted on January 30, 2025 by admin
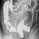
Barium enema with contrast

This gallery contains 1 photo.

Via email advice line from primary care: This man was diagnosed with interstitial nephritis secondary to mesalazine (prescribed for ulcerative colitis) in 2009. His eGFR has remained stable since and is currently 42. Last year he was started on lisinopril … Continue reading →

Posted in Gastrointestinal, Renal | Tagged Level B

A renal Q from the bone marrow transplant unit

Gallery

Posted on January 30, 2025 by admin
Diagrammatic view of Bone Marrow

This gallery contains 1 photo.

They are concerned about the renal function of a 43 year old woman who is day 26 post allogenic stem cell transplant for relapsed Acute Myeloid Leukaemia (conditioning with alemtuzumab, melphalan and fludarabine). Her pre-transplant renal function was normal (creatinine … Continue reading →

Posted in Oncology, Renal | Tagged Level B, Level C

A jaundiced 36 year old develops spastic quadriplegia

Gallery

Posted on January 30, 2025 by admin

This gallery contains 1 photo.

A 36 year old alcoholic man was admitted to hospital with obtunding, jaundice and cachexia. In addition to deranged LFTs, anaemia and thrombocytopenia, all thought to be related to cirrhosis, he had Creat 194 (eGFR 36), Na 138, K 2.6. … Continue reading →

Posted in Metabolic, Neurology | Tagged Level B

A 22 year old man with a painful rash

Gallery

Posted on January 30, 2025 by admin

This gallery contains 1 photo.

A 22 year old plumber has a 1 day history of a painful vesicular rash on his right buttock and posterior thigh. He feels unwell with fever.This case contributed by Levie Mwale and Ann Sergeant Questions What is the most … Continue reading →

Posted in Dermatology, Infectious diseases | Tagged Level A

A 4 year old boy with patchy hair loss

Gallery

Posted on January 30, 2025 by admin

This gallery contains 1 photo.

A healthy 4 year old boy is brought to the Dermatology clinic at Queen Elizabeth Central Hospital, Blantyre by his parents.  He has been scratching his head, and they have recently noticed that he has developed several small scaly areas … Continue reading →

Posted in Dermatology, Paediatrics | Tagged Level A, Malawi

An unwell lady with a history of breast cancer

Gallery

Posted on January 30, 2025 by admin

A 53 year old woman presents with a 2 day history of drowsiness, diarrhoea and vomiting. Her past medical history includes hypertension, diabetes, and recently diagnosed breast cancer. On examination she is dehydrated, BP 95/60, pulse 120/min, temp 38°C, O2 … Continue reading →

Posted in Uncategorized

A foot ulcer in Blantyre, Malawi

Gallery

Posted on January 30, 2025 by admin

This gallery contains 1 photo.

A 42 year old man attends the dermatology clinic in Queen Elizabeth Central Hospital, Blantyre in 2012 with an ulcer on the sole of his right foot.  He says that it has been present since 2004 but that he underwent … Continue reading →

Posted in Dermatology | Tagged Level A, Malawi

A 19 year old albino with a skin lesion

Gallery

Posted on January 30, 2025 by admin

This gallery contains 1 photo.

A 19 year old young woman from Blantyre, Malawi, attends with a scaly lesion which has been present on her right cheek for 3 months. Thanks to Dr Ann Sergeant for this case. Questions Can you describe what you see? … Continue reading →

Posted in Dermatology | Tagged Level A, Malawi

A 56 year old farmer with lip ulceration

Gallery

Posted on January 30, 2025 by admin

This gallery contains 1 photo.

A 56 year old farmer who lives in a village near Blantyre, Malawi, presents with painful oral ulceration which is making eating difficult. On further questioning he also admits that he has pain on micturition as he has painful penile … Continue reading →

Posted in Dermatology, Infectious diseases | Tagged Level A, Level B, Malawi

AKI in a 67 year old on orthopaedics

Gallery

Posted on January 30, 2025 by admin

A call from orthopaedics: a 68 year old retired hospital cook had been admitted electively for total knee replacement 4 days previously. She has a background of longstanding rheumatoid arthritis, treated hypertension, and CKD Stage 3 for which she no … Continue reading →

Posted in Renal | Tagged Level A, Level B

A renal problem in hepatology

Gallery

Posted on January 30, 2025 by admin

The Hepatology junior doctor has been asked to ring due to concerns on the morning ward round about worsening renal function – specifically, do we think this is hepato-renal syndrome? The patient is a 56 year old man with history … Continue reading →

Posted in Hepatology, Renal | Tagged Level B

An 86 year old with CKD

Gallery

Posted on January 30, 2025 by admin

An 86 year old woman who is resident in a local nursing home is known to have stage 3 CKD, hypertension, peripheral vascular disease, eczema, osteoporosis, and moderate Alzheimer’s disease. She is usually independent in dressing and eating and drinking. … Continue reading →

Posted in Renal | Tagged Level A, Level B

A swollen leg

Gallery

Posted on January 30, 2025 by admin

This gallery contains 1 photo.

A 39 year old subsistence farmer is referred to the dermatology clinic at QE Hospital Blantyre, Malawi, with massive left leg swelling that has been present for several years. His main complaint is of “leaking” and malodour, and he is … Continue reading →

Posted in Dermatology, Infectious diseases | Tagged Level A

A breathless 20 year old with cough and fever

Gallery

Posted on January 30, 2025 by admin

This gallery contains 2 photos.

A 20 year old man complains of 3 weeks of cough and fever, and 4 days of oedema of his feet. On examination he is breathless. There is marked engorgement of his neck veins, JVP higher than ears, ascites, 2+ … Continue reading →

Posted in Cardiology, Respiratory | Tagged Level B

A 25 year old woman with a rash and raised creatinine

Gallery

Posted on January 30, 2025 by admin

This gallery contains 1 photo.

A 25 year old woman is referred with a 6 month history of fatigue, joint pain, pleuritic chest pain and facial rash. Three months ago at another hospital she was found to be unwell with a Creatinine of 500 micromol/l, … Continue reading →

Posted in Renal | Tagged Level B, Level C, Malawi

Recent cases

  • Polycystic – but just on one side?
  • Jaundice and AKI after return from Papua
  • Hypertension in a 6th pregnancy
  • A 34 year old man with a fit
  • A 44 year old man with previous interstitial nephritis
  • Category = Specialty
  • Tag = Level
    • Level A = beginner
    • Level B = intermediate
    • Level C = specialist
  • Sort by Specialty + Level below

Meta

  • Log in
  • Entries feed
  • Comments feed
  • WordPress.org
Proudly powered by WordPress