
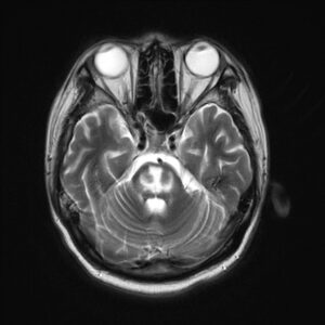
MRI T2/FLAIR on day 17
A 36 year old alcoholic man was admitted to hospital with obtunding, jaundice and cachexia. In addition to deranged LFTs, anaemia and thrombocytopenia, all thought to be related to cirrhosis, he had Creat 194 (eGFR 36), Na 138, K 2.6. He was treated for alcohol withdrawal but was difficult to manage; for a few days he was intubated and ventilated. Lactulose was thought to blame for very profuse diarrhoea, and he developed significant electrolyte disturbance. Serum sodium rose to 158 over 30 hours at one point; then slowly improved with water hydration over several days. Potassium rose to 3.4 then dropped back to 2.4 before slowly returning to normal.
5 days later his conscious level reduced again and he developed spastic quadriplegia. An MRI scan later that day is shown above.
Question: what is the likely cause of this problem? Could anything have been done to prevent it?
Further info
This case was adapted from Am J Kid Dis 68(5):xv-xvii (2016) by Dr David Ferenbach. The image is courtesy of Dr Lemuel Marquez Narcise, Radiopaedia.org, from the case rID: 44204
What the experts said
This is osmotic demyelination (old name: Central Pontine Myelinolysis) but it is a very unusual example caused by rapid onset of hypernatraemia. Usually it is attributed to too-rapid correction of very low plasma [Na], but presumably the principle is the same. A few principles.
- The hyponatraemia needs to be of some duration (not acute).
- The delayed onset of symptoms, 2-6d after the peak change in sodium, is typical.
- A ‘safe rate’ for correction of chronic hyponatraemia is said to be less than 8 mmol every 24h (up to 10 mmol quickly for severe acute symptoms). This is in many guidelines, but recent reviews have questioned the evidence for this.
- Risk factors for its occurrence include alcohol abuse, liver disease, malnutrition, pre-existing brain disease. It is also much more likely if starting sodium is <120.
What happened? He is said to have made a good neurological recovery over a week or so. This is not always the case.
Last Updated on February 2, 2025 by admin