Polycystic – but just on one side?

Email enquiry from GP:

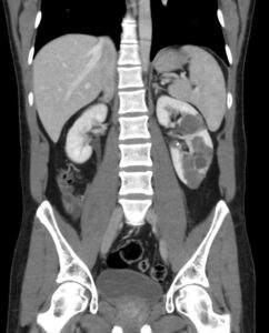
This 49 year old man had an abdominal CT as part of an emergency assessment for ?appendicitis.  No explanation for the pain was found, but he was noted to have multiple simple cortical cysts in his left kidney.  The visualised pancreas, aorta, right kidney, gall bladder and biliary tree all appeared normal and the spleen measured 9.8 cm, which was also normal.

Single image from CT with contrast

The reason I write is to establish whether any further action is required regarding his cysts in his left kidney, or whether in fact they can be ignored as they are not causing him any symptoms at present and should be viewed as an incidental finding only?

See renal test results

Blood – Urea 7 mmol/l, Creatinine 102 micromol/l, eGFR >60. Electrolytes within normal ranges.

BP 142/82

Now consider what advice you would give.

Write your advice

Now read what the expert wrote
This should be viewed as an incidental finding and you can essentially just ignore the result. It is not an uncommon finding and not expected to give rise to any symptoms or indicate an adverse renal prognosis. Of note, complex cysts can indicate malignancy but these are not what is being described here.
More info

RCPE resources

Thanks to Iain Drummond for this case.

Last Updated on February 19, 2025 by admin