This gallery contains 1 photo.
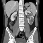
Email enquiry from GP: This 49 year old man had an abdominal CT as part of an emergency assessment for ?appendicitis. No explanation for the pain was found, but he was noted to have multiple simple cortical cysts in his … Continue reading













